Casos reales de nuestros pacientes
Estos son algunos de los casos de nuestros pacientes después de realizar una mejora en la estética de su sonrisa
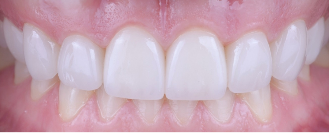
La nueva sonrisa de Roberto
Doctora responsable
Sandra García
Tratamiento Realizado
- Elevación altura vertical
- Carillas cerámicas
Roberto tenía un problema de desgaste dental que afectaba su autoestima al sonreír. Para resolver esto, la doctora Sandra García ideó un plan de tratamiento que incluía elevación de altura vertical y carillas de cerámica para lograr una apariencia natural y estética.
Después de lograr la altura óptima, la Dra. García se enfocó en mejorar la estética dental de Roberto mediante la colocación de carillas de cerámica. El resultado fue una sonrisa más saludable, funcional y hermosa, lo que además rejuveneció la apariencia general de Roberto.
¿Quieres que valoremos tu caso?
REVISIÓN Y DIAGNÓSTICO COMPLETO
El tratamiento de Enric


Enric acudió a nuestra clínica debido a un diente fracturado y, tras resolver su problema de urgencia, le propusimos realizar una rehabilitación completa para corregir su desgaste dental y algunas ausencias dentales.
¡El resultado ha sido transformador ! No solamente hemos recuperado la funcionalidad de su boca, sino que además ahora Enric puede sonreír con seguridad y con una apariencia súper natural
Tratamiento Realizado
- Implantes dentales
- Carillas cerámicas
- Carillas de composite
- Tratamiento conservador e higiene








